IPS

IPS ( Implant Positioning System)

Specialist in Cranio-Maxilofacial Surgery & Customized Implants

#

CTARS IPS

Implant Positioning System

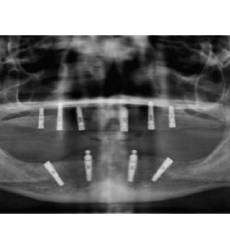
CTARS IPS has a custom made software which can able to guide an implantologist to place an implant in a predetermined surgical plan which will be more precise and accurate to the deep insight about patient anatomy and also helps in reducing the time duration and increasing patient comfort.No two patients teeth are the same. That’s why each and every CTARS IPS guide is custom made to fit your implant plan and patient’s anatomy.CTARS is available with tooth or bone (dentulous or edentulous) supported.

workflow

One Guide KIT

Image
Image
Image

Zygoma Implant Positioning Guide

Image
Image
Image

Pilot Drill Guided

Image
Image
Image
Image
whatsapp
whatsapp